Close
  Indian J Med Microbiol
 

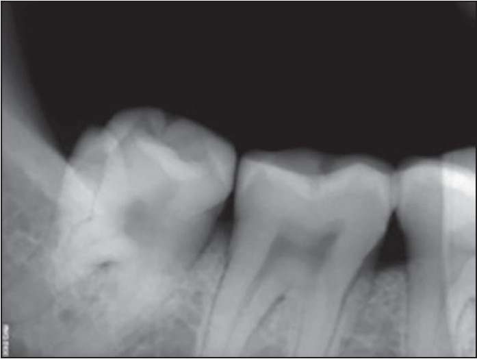
Figure 5: Protostylid on 38 with a rudimentary root

Figure 5: Protostylid on 38 with a rudimentary root