Close
  Indian J Med Microbiol
 

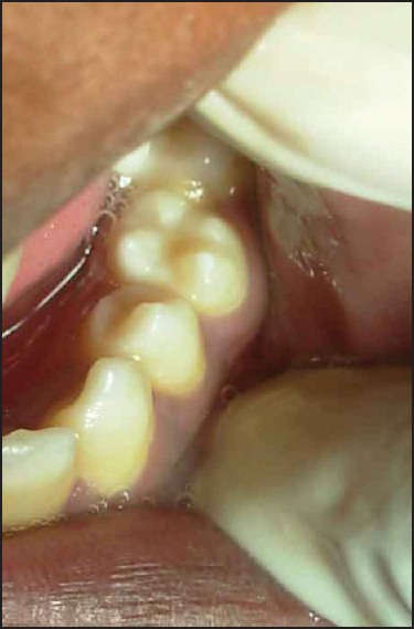
Figure 2: Photograph showing the mandibular second left premolar with four cusps looking like a molar (molarized premolar)

Figure 2: Photograph showing the mandibular second left premolar with four cusps looking like a molar (molarized premolar)