Close
  Indian J Med Microbiol
 

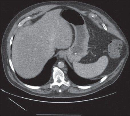
Figure 2: CT of abdomen 10 months after hospital discharge shows left side chest wall hernia through the torn intercostal muscles

Figure 2: CT of abdomen 10 months after hospital discharge shows left side chest wall hernia through the torn intercostal muscles