Close
  Indian J Med Microbiol
 

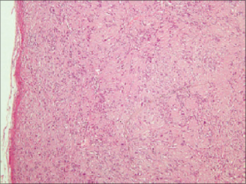
Figure 2: Section showing a well-encapsulated benign spindle cell tumor with characteristic Verocay bodies, consistent with schwannoma (H and E, ×5)

Figure 2: Section showing a well-encapsulated benign spindle cell tumor with characteristic Verocay bodies, consistent with schwannoma (H and E, ×5)