|
|
| CASE REPORT |
|
| Year : 2015 | Volume
: 10
| Issue : 1 | Page : 27-30 |
|
Schwannoma of the nasal cavity: A case report and a review
Esraa M.A. Mosalleum1, Vincent M Phillips2
1 Division of Oral and Maxillofacial Pathology, Faculty of Dentistry, Tygerberg Hospital, National Health Laboratory Service, University of The Western Cape, Cape Town, South Africa 2 Department of Forensic dentistry and Dental and Maxillofacial Radiology, The University of the Western Cape, Cape Town, South Africa
| Date of Web Publication | 21-May-2015 |
Correspondence Address: Esraa M.A. Mosalleum Division of Oral and Maxillofacial Pathology, Tygerberg Hospital, National Health Laboratory Service, University of the Western Cape, Cape Town South Africa
  | Check |
DOI: 10.4103/1858-5000.157509
Nasal polyps constitute the clinical presentation of a variety of soft tissue lesions involving the nose. Benign nerve sheath tumors are rare lesions that can present in the nasal cavity. Herein, we present a rare case of nasal schwannoma, and we review the clinical and the radiological features of cases published as nasal cavity schwannoma in the English literature. Extensive PubMed search revealed only 17 cases of schwannoma of the nasal cavity reported during the period 2000-2013. The mean age of presentation was 39 years, and a female predilection was observed. The main radiological feature was a homogenous well circumscribed mass on plain radiography with intermediate intensity on T1-weighted and T2-weighted and homogenous enhancement on contrast magnetic resonance imaging. No invasive growth pattern or cranial extension was reported. The histological features of nasal cavity schwannomas were similar to their soft tissue counterparts. The literature shows that malignant cases are rare. Keywords: Differential diagnosis, nasal cavity, schwannoma
How to cite this article: Mosalleum EM, Phillips VM. Schwannoma of the nasal cavity: A case report and a review. Sudan Med Monit 2015;10:27-30 |
| Introduction | |  |
The nasal cavity is a common site for polypoid lesions, particularly those of inflammatory nature, however nerve sheath tumours are a rare presentation. Most of these lesions arise from the branches of the trigeminal nerve. The pathologists should be aware of such a presentation in this rare location. Careful assessment of these lesions is important to exclude malignancy.
| Case report | |  |
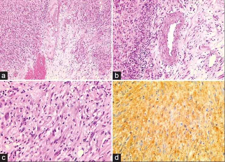
A 38-year-old female presented with a nasal growth for 2 months. Rhinoscopy disclosed a polypoid mass involving the left nasal cavity. The clinical diagnosis suggested a pyogenic granuloma. Computed tomography revealed a well circumscribed soft tissue mass involving the left nasal vestibule. The lesion caused mild erosion of the adjacent maxillary wall and the nasal septum [Figure 1]a and b]. There was no involvement of the paranasal sinuses or the surrounding soft tissue, and the radiological findings favored a benign process. The lesion was removed in pieces by endoscopy and submitted for histological evaluation. The microscopy showed a spindled cell neoplasm with vague hypocellular and hypercellular arrangement [Figure 2]a-c]. There were no typical verucay bodies and focal symplastic (degenerative ancient) change in the form of random mild cytological atypia was seen. There was neither necrosis nor increased mitotic activity. Multiple thick walled vascular spaces and a scattering of chronic inflammatory cells were seen within the lesion. The tumor cells were diffusely immunoreactive for S100 Protein confirming the Schwann cell origin of the cells [Figure 2]d]. No immunoreactivity was observed for cytokeratins, desmin, smooth muscle actin (SMA), epithelial membrane antigen (EMA), neurofilament (NF) or HMB45. A diagnosis of schwannoma with symplastic (ancient) change was made. | Figure 1: (a) Coronal bony window that reveals a soft tissue mass involving the left nasal vestibule (arrows), the mass causes erosion of the adjacent maxilla and bony septum (b) coronal soft tissue window, reveals a soft tissue mass involving the left nasal vestibule (arrows), the mass causes erosion of the adjacent maxilla and bony septum
Click here to view |
 | Figure 2: (a) Spindle cell proliferation in hypocellular and hypercellular zonation (×10 objective) (b) Thick walled vascular spaces and vague palisading of tumour cells (×20 objective) (c) The cells show random mild cytological atypia. No increased mitotic activity or necrosis (×40 objective) (d) S100 shows diffuse positivity (×40 objective)
Click here to view |
The postoperative period was uneventful, and the patient remained free of recurrent lesion 10 months postoperatively.
| Discussion | |  |
Schwannomas are benign nerve sheath tumors. Involvement of the sinonasal region is a rare presentation. [1],[2],[3],[4],[5],[6],[7],[8],[9] Malignant counterparts have been rarely described. [4],[8],[9] Schwannomas occurring in the head and neck accounted for 25-45% of cases, of which only 4% involved the sinonasal tract. [2],[4] The lesion originates from branches of the trigeminal nerve. [4] Symptoms of sinonasal schwannomas resemble other common inflammatory sinonasal conditions such as polyps, mucocele or sinusitis. [2] The most frequent presenting symptom is nasal obstruction. Less frequent symptoms include exophthalmos, facial swelling, cranial nerve palsy and visual disturbances. [2],[3],[5],[6],[7] Schwnnomas originating from the nasal septum tend to be more symptomatic when compared to shwannomas of the paranasal sinuses due to the confined area of the nasal cavity. [10] Berlucchi et al., reviewed the cases published on schwannomas of the nasal septum. [3] Herein, we review the clinical and the radiological presentation of the previous cases published on nasal cavity schwannoma since 2000 [Table 1]. [2],[4],[5],[6],[7],[10],[11],[12],[13],[14],[15],[16] Only 17 cases were reported during the period 2000-2013 in PubMed. The mean age of presentation of nasal cavity schwannoma was 39 years; ranging from 11 to 82 years. Female predilection was observed with F: M ratio of 1.8:1. 4 cases (23%) originated from the nasal septum. The principal clinical presentation was nasal obstruction followed by epistaxis with rare cases of dysphonia, insomnia and rhinorrhea. Most of the cases were related to the nasal septum, which often showed deviation. The radiological features were mainly of a well-circumscribed homogeneous soft tissue mass that may extend to the paranasal sinuses and the nasopharynx with no destructive growth. Hu et al. [6] studied the magnetic resonance imaging of nasal schwannoma in a series of 5 cases. They found that these tumors have an intermediate intensity on T1-weighted and T2-weighted; with sometimes higher intensity on T2-weighted. Homogenous enhancement was seen after contrast. Follow-up of the cases revealed that the lesion was unlikely to recur, which reflects the indolent nature of the neoplasm.
The histological differential diagnosis of sinonasal schwannomas includes lesions characterized by spindle cells that include the following:
Neurofibroma; a benign peripheral nerve tumor composed of Schwann cells, perineural cells and intra-neural fibroblasts. The tumor is also characterized by myxoid matrix and scattered mast cells. Immunohistochemically neurofibromas are reactive to S100 protein, EMA and NF. Diffuse neurofibroma is a distinctive variant of neurofibroma characterized by spindled cells embedded in a fibro-myxoid stroma, the tumor infiltrates adjacent fat creating a honeycomb pattern. Wagner-Meissner bodies are also seen in diffuse neurofibroma. This form of neurofibroma is more common in subcutaneous locations.
Ectopic or secondary meningiomas of the sinonasal cavity are mainly meningothelial or transitional type and rarely the fibroblastic type. [3] The tumor cells have a syncytial arrangement with a whorled pattern. The cells have a pseudo-nuclear inclusions and psammoma bodies. Immunoreactivity for EMA can be helpful to exclude the entity. [3]
Angiofibroma has a characteristic presentation in young males involving the postero-lateral wall of the roof of the nasal cavity. Histologically the lesion is characterized by hyalinized vascular stroma containing stellate and spindled myofibroblasts with numerous mast cells. The vascular spaces had variable wall thickness and characterized by staghorn appearance and lack elastic fibres in their walls. The cells are reactive to vimentin and β-catinin with focal SMA.
Glomangiopericytoma is a distinctive spindle cell lesion of the sinonasal cavity, originating from modified perivascular myoid cells. The tumor cells are uniform spindled to oval cells, densely packed with little intervening collagen. Staghorn capillary vessels with occasional hyalinized walls characterize the vascularity of the lesion. The immunohistochemistry of the cells shows reactivity to SMA, FXIIIa, vimentin and negative immunoreactivity to CD34, Bcl2 and CD99. Focal expression of CD34 and calretinin has been reported in nasal schwannomas. [5]
Leiomyomas grow in intersecting fascicles of spindled cells. The cells have cigar-shaped nuclei and they appear to have perinuclear halos when the fascicles are visualized in cross-section. Immunohistochemically the cells react to desmin, SMA, calponin and H-caldesmon.
Ancient change in schwannoma could be misinterpreted as a malignant peripheral nerve sheath tumour. [8] Malignant spindle cell lesions including, spindle cell carcinoma, melanoma and leiomyosarcoma. The absence of fascicular growth, increased mitotic activity and hypercellularity, excludes malignant peripheral nerve sheath tumor. Spindle cell carcinoma contains areas of squamous cell carcinoma or carcinoma-in-situ of the overlying epithelium and reacts to cytokeratins and occasionally to vimentin. Desmoplastic malignant melanoma shows reactivity to melanocytic markers. Leiomyosarcoma has a similar morphology and immunohistochemistry to leiomyoma but with more pleomorphism, increased mitotic activity or necrosis.
The treatment of nasal schwannomas involves surgical excision, and the extent of the lesions influences the surgical approach [3],[8] The importance of the sinonasal endoscopy in the diagnosis and the management has been emphasized. [2] Preservation of the nerve trunk could prevent postoperative neurological complications. [4]
| Conclusion | |  |
Schwannomas are benign peripheral nerve sheath tumors that rarely involve the nasal cavity and often present clinically as nasal polyps. The radiology of the lesion usually reflects the indolent nature of this tumor with no bone destruction or soft tissue invasion. The treatment involves complete surgical excision with no reported cases of recurrence after surgery.
| Acknowledgments | |  |
The authors thank Dr. M Smith for providing the radiology and Dr. F Bezuidenhout for reviewing the radiology of the case.
| References | |  |
| 1. | El-Saggan A, Olofsson J, Krossnes B. Sinonasal schwannoma: Two reports and review of literature. Int Congr Ser 2003;1240:503-7. |
| 2. | Jacopo G, Micaela I, Italo C, Luigi C, Larocca LM, Gaetano P. Atypical sinonasal Schwannomas: A difficult diagnostic challenge. Auris Nasus Larynx 2009;36:482-6. |
| 3. | Berlucchi M, Piazza C, Blanzuoli L, Battaglia G, Nicolai P. Schwannoma of the nasal septum: A case report with review of the literature. Eur Arch Otorhinolaryngol 2000;257:402-5. |
| 4. | Leu YS, Chang KC. Extracranial head and neck schwannomas: A review of 8 years experience. Acta Otolaryngol 2002;122:435-7. |
| 5. | Ohashi R, Wakayama N, Kawamoto M, Tsuchiya S, Okubo K. Solitary nasal schwannoma: Usefulness of CD34 and calretinin staining for distinction from histological mimics. J Nippon Med Sch 2013;80:300-6. |
| 6. | Hu J, Bao YY, Cheng KJ, Zhou SH, Ruan LX, Zheng ZJ. Computed tomography and pathological findings of five nasal neurilemmomas. Head Neck Oncol 2012;4:26. |
| 7. | Wada A, Matsuda H, Matsuoka K, Kawano T, Furukawa S, Tsukuda M. A case of schwannoma on the nasal septum. Auris Nasus Larynx 2001;28:173-5. |
| 8. | Colreavy MP, Lacy PD, Hughes J, Bouchier-Hayes D, Brennan P, O'Dwyer AJ, et al. Head and neck schwannomas - A 10 year review. J Laryngol Otol 2000;114:119-24. |
| 9. | Purohit JP, Sharma VK. Malignant schwannoma of nasal cavity. Indian J Otolaryngol Head Neck Surg 1997;49:62-3. |
| 10. | Rajagopal S, Kaushik V, Irion K, Herd ME, Bhatnagar RK. Schwannoma of the nasal septum. Br J Radiol 2006;79:e16-8. |
| 11. | Gupta R, Khurana N, Singh DK, Singh S. Schwannoma of nasal cavity with intracranial extension: A rare but interesting phenomenon in a benign neoplasm. Indian J Pathol Microbiol 2008;51:447-8.  [ PUBMED] |
| 12. | Pagella F, Giourgos G, Matti E, Colombo A. An asymptomatic schwannoma of the nasal septum: Report of a unique case. Ear Nose Throat J 2009;88:1264-5. |
| 13. | Khnifies R, Fradis M, Brodsky A, Bajar J, Luntz M. Inferior turbinate schwannoma: Report of a case. Ear Nose Throat J 2006;85:384-5. |
| 14. | Ramavat A, Kumar R, Venkatakarthikeyan C, Jain A, Deka RC. Modified lateral rhinotomy for fronto-ethmoid schwannoma in a child: A case report. Cases J 2010;3:64. |
| 15. | Pauna HF, Carvalho GM, Guimarães AC, Maunsell RC, Sakano E. Schwannoma of the nasal septum: Evaluation of unilateral nasal mass. Braz J Otorhinolaryngol 2013;79:403. |
| 16. | Hazarika P, Nayak DR, Pujary K, Rao L. Schwannoma of the nose and paranasal sinuses. Indian J Otolaryngol Head Neck Surg 2003;55:34-8. |
[Figure 1], [Figure 2]
[Table 1]
|