|
|
| ORIGINAL ARTICLE |
|
| Year : 2014 | Volume
: 9
| Issue : 3 | Page : 123-126 |
|
Computed tomography evaluation of paranasal sinuses lesions
Mohamed Yousef1, Abdelmoneim Sulieman2, Hussein Hassan3, Caroline Ayad3, Lubna Bushara3, Abdelmoneim Saeed4, Moawia Gamerddin5, Bushra Ahmed6
1 Department of Diagnostic Radiologic Technology, College of Medical Radiologic Science, Sudan University of Science and Technology, Khartoum; Department of Diagnostic Radiologic Technology, College of Medical Applied Sciences, Taibah University, Al Madinah, Al Munawwarah, Saudi Arabia 2 Department of Radiology and Medical Imaging, College of Applied Medical Sciences, Salman Bin Abdulaziz University, Alkharj, Saudi Arabia 3 Department of Diagnostic Radiologic Technology, College of Medical Radiologic Science, Sudan University of Science and Technology, Khartoum, Sudan 4 Department of Diagnostic Radiologic Technology, National College for Medical and Technical Studies, Khartoum, Sudan 5 Department of Diagnostic Radiologic Technology, College of Medical Applied Sciences, Taibah University, Al Madinah, Al Munawwarah; Department of Diagnostic Radiologic Technology, College of Radiologic Technology, The National Ribat University, Khartoum, Saudi Arabia 6 Department of Diagnostic Radiologic Technology, Faculty of Radiological Sceinces and Medical Imaging, Alzaeim Alazhari University, Khartoum, Sudan
| Date of Web Publication | 22-Jan-2015 |
Correspondence Address: Mohamed Yousef Department of Diagnostic Radiologic Technology, College of Medical Applied Sciences, Taibah University, P.O. 30001, Al Madinah, Al Munawwarah Saudi Arabia
  | Check |
DOI: 10.4103/1858-5000.149837
Aims: The goal of this study is to evaluate the role of computed tomography scan in the diagnosis of sinuses diseases. Subjects and Methods: This was a cross-sectional study design, conducted in different hospitals and clinical centers at Khartoum State. Totally 26 males and 24 females aged ranges from 10 to 70 years old with different symptoms were selected, axial and direct coronal cuts were done for all cases. Results: The study revealed that most patients were affected in the both sides, with a history of sinuses diseases in their families, maxillary sinuses are the most affected area, and most patients suffer from headache. Chronic and fungal sinusitis the sensitivity of the coronal view was (77%, 61%, and 61%) respectively compared to axial that was (22%, 36%, and 38%) respectively. In the nasal polyp and granulomatous diseases, the efficiency of the coronal view was (62% and 65%) respectively, while in axial was (37% and 34%) respectively. In benign and malignant tumor the efficiency of coronal was 57% and 32% respectively, while in the axial view was (42% and 21%) respectively. Conclusions: This study concluded that the two image planes are performed together and used as an essential technique of peripheral nerve stimulation. Keywords: Axial view, computed tomography, coronal view, maxillary sinuses, paranasal sinuses diseases
How to cite this article: Yousef M, Sulieman A, Hassan H, Ayad C, Bushara L, Saeed A, Gamerddin M, Ahmed B. Computed tomography evaluation of paranasal sinuses lesions. Sudan Med Monit 2014;9:123-6 |
| Introduction | |  |
Computed tomography (CT) is noninvasive, safe, and well-tolerated. It provides a highly detailed look at many different parts of the body. [1] There are four pairs of sinuses, each connected to the nasal cavity by small openings. [2] CT scans of sinuses provide greater clarity and reveal more details than regular X-ray exams. [3] In practical terms, there are only two planes that are common for imaging the sinuses: The coronal plane, and the axial plane that can diagnose the peripheral nerve stimulation (PNS) diseases more than other modalities. [4] The role of magnetic resonance imaging is limited but may provide further information on fungal infection and differentiating thickened mucosa from fluid retention. [5]
The goal of this study is to evaluate the role of CT scan in the diagnosis of sinuses diseases.
| Subjects and methods | |  |
This study was carried out in yastebsheroon Omdurman, Asia hospital, and modern medicine center CT departments in the period from (20.7.2011) to (30.9.2011). Random samples of (50) patients who clinically have paranasal sinuses diseases. Undergo the CT examination for paranasal sinus.
Using data collection sheet including (age, gender, CT coronal and axial findings were recording,….). Using American, general electric (GE) HiSpeed CT/E dual CT scanner was used, made by GE Healthcare Manufacturer, in years of 2000.
| Results | |  |
A total of 50 patients, 26 males and 24 females their ages ranged from 10 to 70 years old with different symptoms were chosen, axial and direct coronal cuts were done for all cases.
The most of the patient's ages from 21 to 40 years old, most patients were affected in the both sides [Figure 1], with history of sinuses diseases in their families, maxillary sinuses are the most affected area, and most patients suffer from headache.
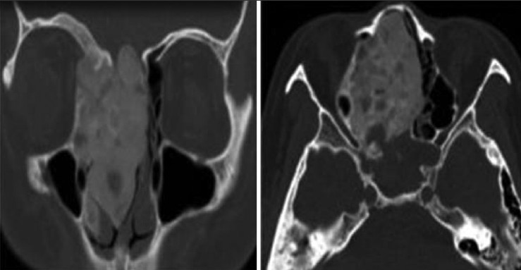
Axial images have a role in the diagnosis of paranasal sinuses problems, but direct coronal scan is better than axial. These results are established by account the number of appearances that showing in coronal view and compared them with those appeared in axial section, where in acute, chronic and fungal sinusitis, the sensitivity of coronal view was (77%, 61% and 61%) respectively compared to axial, which was (22%, 36% and 38%) respectively. In the nasal polyp and granulomatous disease [Figure 2] [Table 1] the efficiency of the coronal view was (62% and 65%), respectively, while in axial was (37% and 34%), respectively. In benign and malignant tumor [Figure 3] and [Figure 4] [Table 2] the efficiency of coronal was 57% and 32% respectively, while in the axial view was (42% and 21%), respectively. | Figure 2: Axial and coronal computed tomography images demonstrate granulomatous disease in a 33-year-old female
Click here to view |
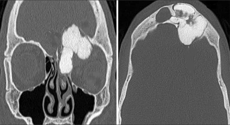
 | Figure 3: Axial and coronal computed tomography images demonstrate benign osteoma in a 17-year-old man
Click here to view |
 | Figure 4: Axial and coronal computed tomography images demonstrate frontal sinus osteoma in a 13-year-old man
Click here to view |
 | Table 1: Compared between affected area and sinuses diseases in the sampled patients
Click here to view |
 | Table 2: The CT appearances that were demonstrated in both coronal and axial sections
Click here to view |
Maxillary sinuses are the most affected area by the all of sinuses diseases, while sphenoid sinuses are lowest one that was affected by any sinus diseases.
| Discussion | |  |
This study included 50 patients, CT scanning was performed on two planes (axial, coronal) and were evaluated, the characteristic of all variables in the sample studied were described as frequencies and percentages. This study assessed and compared between two image planes (axial and coronal) by account the number of appearances that shown by coronal view and compared them with those which were appeared by axial section - all these were diagnosed by ENT consultant who has experience of 10 years.
About 50% of patients in studied sample are aged from 21 to 41 years old and they are mostly affected by (acute, chronic, fungal sinusitis and polyp), while 42% of patients are over 40 years and they are mostly affected by malignant tumors and granulomatous diseases, same result as (Mohr, 2000) in Germany who studied the CT findings in patients with sinuses disease that were divided by age both sides of paranasal sinuses are more affected in sample studied by percentage of 48% than either side RT by 34% and LT by 18% percentages. In 31% of total cases are affected in maxillary sinuses, while frontal, ethmoid and sphenoid sinuses are obtained a lower proportion (18%, 28.7%, 11.7%) respectively. The visualization of any opacification in anterior ethmoidal sinuses, fluid level in maxillary sinuses or blockage of maxillary osteum, axial view has no role in detection of them and sensitivity of direct coronal view was 100% more efficient. While axial view played an important role if there is any opacification in posterior ethmoidal sinuses which are not shown in coronal section at all. In diagnosing of acute sinusitis, the efficiency of coronal was 77.27% compared to axial that was 22.72%. In the chronic sinusitis and their associated complications such as, mucocele, Septic thrombophlebitis, septal deviation. The sensitivity of the coronal section was 61.29% more efficient than axial section 36.7%. In the 8 patients whose affected by the various types of nasal polyp diagnosed in coronal by 62.9% than in axial 36.09%. The fungal sinusitis diagnosed in coronal more efficient by 61.6% compared with axial, which was sensitive in diagnosed of fungal sinusitis by 38.3%. The diagnosing of granulomatous diseases, which affect 6 patients in the sample studied was diagnosed in coronal by percentage of 65.3% more efficient than axial section, which was 43.6% efficiency. In benign tumors such as papilloma, osteoma, and cysts, the sensitivity of the coronal section was 57.14 more efficient than axial section 42.8%. All 8 patients whose affected by malignant tumors in studied sample such as carcinoma of the paranasal sinuses, sarcoma, olfactory neuroblastoma and metastasis) are injected by contrast material and the efficiency of all images postcontrast was higher than precontrast and sensitivity of coronal in pre- and postcontrast and was 27.3% and 32.1% respectively more than pre- and postcontrast images, which was 19% and 21.4% respectively. When compared between coronal view and axial, coronal is better and more sensitive than axial because it is play an important role in the demonstrating of all sinuses diseases such as (acute sinusitis, chronic sinusitis, fungal diseases, polyp and tumors) and their types. Finally, when we are perform the two images planes (axial, direct coronal) that is the proper technique because by two views can obtain accurate diagnose, and any pathological changes appear clearly.
It concluded that CT scanning of PNS was providing great clarity and reveal high details in diagnosing of pathological changes, two images planes (axial, coronal) should be perform together for every patients complain of paranasal sinuses problem, Coronal has been shown to be the best imaging technique for accurate diagnosis of paranasal sinuses lesions, Well trained radiologist and technologist are important for well medical service management.
| References | |  |
| 1. | deShazo RD, Chapin K, Swain RE. Fungal sinusitis. N Engl J Med 1997;337:254-9. |
| 2. | Juhl JH, Crummy AB, Kuhlman JE, editors. Paul and Juhis Essentials of Radiologic Imaging. 7 th ed. Philadelphia: Lippin Colt, Raven Publishers; 1998. p. 1269-83. |
| 3. | Sutton D. Textbook of Radiology and Imaging. 7 th ed., Vol. 2. Edenburgh, UK: Churchil Livingstone; 2002. p. 1519-29. |
| 4. | Yousem DM. Imaging of sinonasal inflammatory disease. Radiology 1993;188:303-14. |
| 5. | Chong VF, Fan YF. Comparison of CT and MRI features in sinusitis. Eur J Radiol 1998;29:47-54. |
[Figure 1], [Figure 2], [Figure 3], [Figure 4]
[Table 1], [Table 2]
|