|
 |
| CASE REPORT |
|
| Year : 2013 | Volume
: 5
| Issue : 1 | Page : 21-26 |
|
|
Dentigerous cysts in four quadrants: A rare and first reported case
Vinit Aher1, Prasant Mohan Chander1, Rajkumar Garudanahally Chikkalingaiah2, Fareedi Mukram Ali1
1 Department of Oral Surgery, S.M.B.T. Dental College, Sangamner, Maharashtra, India 2 Department of Oral Surgery, V.S. Dental College and Hospital, Bangalore, Karnataka, India
| Date of Web Publication | 21-Sep-2013 |
Correspondence Address: Vinit Aher Department of Oral Surgery, S.M.B.T. Dental College, Sangamner, Maharashtra India
 Source of Support: None, Conflict of Interest: None  | 3 |
DOI: 10.4103/2006-8808.118607

Abstract | | |
The dentigerous cyst is a developmental odontogenic cyst which usually occurs in the second and third decade of life. Dentigerous cyst is one of the most prevalent types of odontogenic cysts associated with partially erupted, developing, or impacted teeth. The mandibular third molars have a high predictability followed by maxillary canines. Occurrence of dentigerous cyst bilaterally is generally observed in syndromic cases. Non-syndromic dentigerous cyst occurring bilaterally or involving both arches at the same time is very rare. This presented case is rare and unique in which all four quadrants shows the presence of dentigerous cyst. In this case there are well-defined cysts associated with impacted molars as well as with supernumerary teeth in all the four quadrants of jaws. The clinical documentation of such a case in available literature is found to be first time. Keywords: Dentigerous cyst, supernumerary teeth, pricoronal radiolucency
How to cite this article: Aher V, Chander PM, Chikkalingaiah RG, Ali FM. Dentigerous cysts in four quadrants: A rare and first reported case. J Surg Tech Case Report 2013;5:21-6 |
How to cite this URL: Aher V, Chander PM, Chikkalingaiah RG, Ali FM. Dentigerous cysts in four quadrants: A rare and first reported case. J Surg Tech Case Report [serial online] 2013 [cited 2016 May 25];5:21-6. Available from: http://www.jstcr.org/text.asp?2013/5/1/21/118607 |
Introduction | |  |
Dentigerous cyst is defined as an epithelial-lined developmental cyst formed by accumulation of fluid between the reduced enamel epithelium and crown of an unerupted tooth. It is formed due to an alteration in the reduced enamel epithelium, and is observed enclosing the crown of an unerupted tooth at the cementoenamel junction. [1] The dentigerous cyst is the second-most common odontogenic cyst and literature shows an occurrence of 24% among all true cysts of jaws. [2] It is most commonly associated with an impacted mandibular third molar, followed by the maxillary canine and maxillary third molar. [3] Dentigerous cysts are usually an incidental discovery when radiographs are taken to investigate a failure of tooth eruption, a missing tooth or mal-alignment. Most dentigerous cysts are solitary and unicystic involving one side mandibular third molar area and found rarely bilaterally. [4] Bilateral and multiple cysts are usually found in association with a number of syndromes. Occurrence of dentigerous cyst in both the jaws and bilaterally is never been mentioned in the literature. There is usually no pain or discomfort associated with the cyst unless it becomes secondarily infected. CT scan show well-defined, unilocular, well-corticated, hypodense lesions that are often associated with the crowns of impacted teeth. [5] The hypodensity is attached at an acute angle to the cervical area of an unerupted tooth. The radiographic differentiation between a dentigerous cyst and a normal dental follicle is based merely on size. A normal dental follicular space is 3-4 mm whereas a dentigerous cyst can be suspected when the space is more than 5 mm. [6] The presented case is rare, unique and probably the first reported case of its kind to be mentioned in literature as occurrence of dentigerous cyst simultaneously in both the jaws and bilaterally in each jaw is not found in literature.
Case Report | |  |
A 24-year-old male reported to the Department of Oral and Maxillofacial surgery in Mayya Multispecialty Hospital, Bangalore, India, complaining of asymptomatic facial swelling of 1 year. An intraoral clinical examination revealed a non-tender bilaterally palpable swelling. The swelling extended from the first premolar to third molar region on the right, and from the first premolar region to the retromolar trigone on the left [Figure 1] and [Figure 2]. The swelling obliterated the buccal vestibule bilaterally and there was associated mobility of the first and second molars on both sides of mandible. The overlying mucosa appeared normal in color, non-tender, hard in consistency, and smooth on palpation. The third molars were unerupted in all the four quadrants. There was no history of paresthesia in lower lip region. All the sensations were found to be normal in lower lip area on clinical evaluation. Vitality was found to be present in first and second molars, premolars, and anterior teeth after thermal stimulation test using hot gutta percha application on teeth. | Figure 1: Preoperative clinical photographs showing intraoral swellings in the retromolar area on right side
Click here to view |
 | Figure 2: Preoperative clinical photographs showing intraoral swellings in the retromolar area on left side
Click here to view |
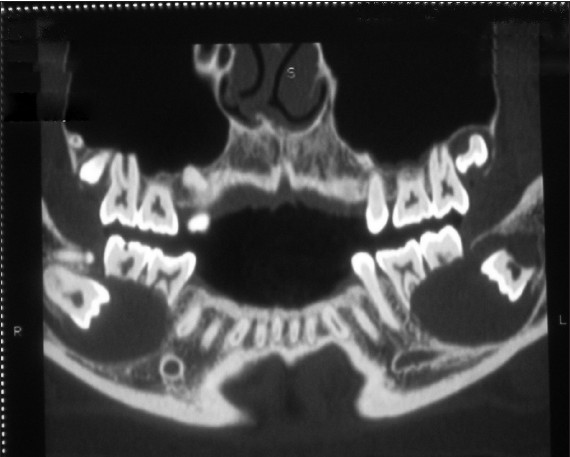
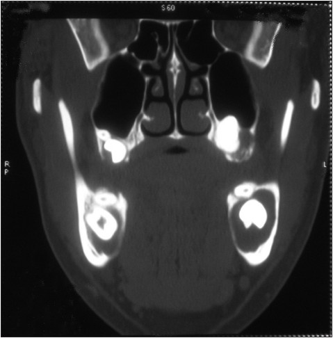
A radiographic investigation by CT scan revealed a unilocular well-defined corticated hypodense lesion involving impacted mandibular third molars bilaterally [Figure 3]. The dimensions of the hypodensities were 31 and 42 mm anteroposteriorly on the right and left, respectively. There were also associated supernumerary teeth on both sides. The supernumerary teeth were small in size than third molars with single conical root and were placed coronally in close relation to third molars on both sides. The hypodensities were associated with radicular resorption of the first and second molars. Radiographs also revealed the inferior displacement of the mandibular canal. Incidentally another bilateral hypodense lesion associated with the crowns of maxillary third molars was observed. CT-Scan revealed a well-defined and corticated margin was observed surrounding the unilocular hypodensity. In maxilla, CT-scan revealed the dimensions of hypodensities around the crowns of third molars to be 15 and 18 mm in diameter on the right and left side, respectively [Figure 4] and [Figure 5]. There was no root resorption of adjacent teeth observed in maxilla. In all four quadrants the hypodense lesions were attached to the cementoenamel junction of the third molars at an acute angle which is one of the classical radiographic finding in cases of dentigerous cyst. Coronal sections and three-dimensional CT revealed bilateral lingual and buccal cortical perforations in mandible [Figure 6]. On aspiration a straw-colored fluid was obtained from each of these cystic lesions which is diagnostic of a dentigerous cyst [Figure 7]. | Figure 3: CT image showing bilateral expansile radiolucent lesion surrounding both the mandibular and maxillary third molar regions along with supernumerary teeth
Click here to view |
 | Figure 4: CT image shows maxillary radiolucent lesion surrounding the right impacted third molar
Click here to view |
 | Figure 5: CT image shows maxillary radiolucent lesion surrounding the left impacted third molar
Click here to view |
 | Figure 6: The coronal view of mandible in CT image shows bilateral lingual bone perforation
Click here to view |
After clinical and radiological examination a provisional diagnosis of dentigerous cyst was made. Multiple incisional biopsies were taken and histopathological examination revealed a cystic lumen lined by two to three-layer thick non-keratinized stratified squamous epithelium that resembled reduced enamel epithelium. The connective tissue wall was composed of a fibrous capsule which confirmed the diagnosis of dentigerous cyst [Figure 8] and [Figure 9]. | Figure 8: Histopathological section showing the cystic epithelial lining typically of dentigerous cyst
Click here to view |
 | Figure 9: Another histopathological section showing the cystic epithelial lining typically of dentigerous cyst
Click here to view |
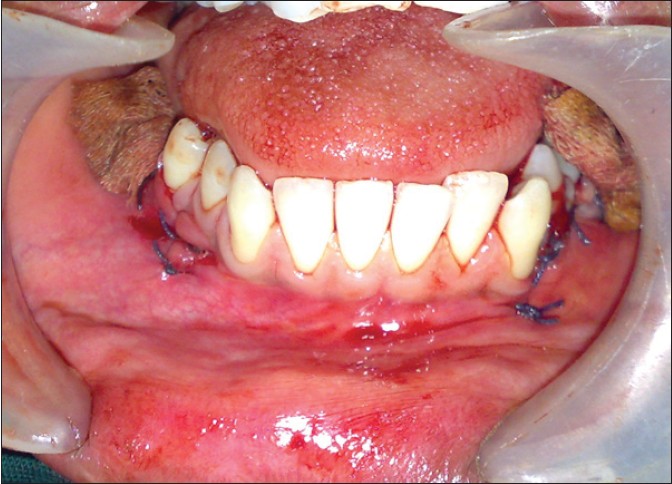
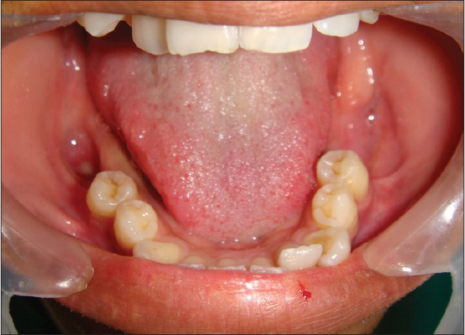
Under general anesthesia the cystic lesions in all four quadrants were enucleated along with impacted third molars and supernumerary teeth. Also in both quadrants of mandible extraction of the first and second molars were carried out as they were mobile. The resultant cavities [Figure 10] in the mandible after enucleation were packed with bismuth, iodoform, paraffin paste, and healing was by secondary intention [Figure 11]. Follow-up dressing was done after 24 hours postoperatively for the first 2 weeks and then follow-up of intraoral wound irrigation and dressing was carried out once a week for next 2 months for healing of the bony defects in mandible intraorally. Postoperative follow-up orthopantomographs (OPGs) were taken at regular monthly intervals. Six months postoperatively the dimensions of the cystic cavity were reduced both clinically and radiographically [Figure 12] and [Figure 13]. The patient is still under routine follow-up and will be closely monitored for long-term outcome. | Figure 10: Intraoperative clinical photograph showing resultant bony cavities after enucleation of dentigerous cysts in mandible
Click here to view |
 | Figure 11: Postoperative clinical photograph showing the gauze packed in to the bony cavities after cyst enucleation
Click here to view |
 | Figure 12: Intraoral clinical view after 6 months showing the healing of bony cavities
Click here to view |
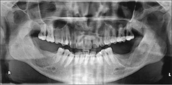
 | Figure 13: Postoperative panoramic view after 5 months of enucleation showing significant amount of bone formation
Click here to view |
Disscusion | |  |
Dentigerous cysts are one of the most common developmental odontogenic cysts. [7] Dentigerous cysts are the second-most common true cysts of the jaws following radicular cysts. [8] Majority of the dentigerous cysts are associated with the permanent teeth during the second decade of life. [9] Most dentigerous cysts are solitary. Bilateral and multiple cysts are usually found in association with a number of syndromes including cleidocranial dysplasia and Maroteaux-Lamy syndrome. [10] Occurence in the mandibular third molar region is more common compared to maxillary third molar region. [11] The dentigerous cyst is usually associated with impacted third molars and canines. [12],[13] The presented case is unique as it shows dentigerous cysts involving all the four quadrants and not associated with any syndrome symptoms like underdeveloped or absent clavicle and frontal bossing or open fontanales as seen in cliedocranial dysplasia. A review of literature shows no report of any case with dentigerous cyst involving all four quadrants. [14] This appears to be the first reported case in literature.
Dentigerous cysts are usually asymptomatic [15] and are diagnosed incidentally in routine radiographs. Unerupted teeth could indicate the possibility of a dentigerous cyst. A dentigerous cyst can expand causing facial asymmetry. As with other cysts, dentigerous cyst expands the outer cortical plate more than the lingual plate. In this case we came across the same with both the plates' perforation. It may involve other teeth as it expands. [16] Many times the enlarging cyst may displace the mandibular canal and may case paresthesia due to compression of nerve. [17] In the present case there was no history of paresthesia in the lower lip region or loss of vitality of adjacent teeth indicating no compression or nerve damage.
It is important to perform radiological examination for unerupted teeth in which panoramic radiograph may be used primarily. However, in extensive lesions, CT scan is considered as the gold standard. Thus in this case a CT scan was chosen as a radiological investigation of choice. Radiographic evaluations of dentigerous cysts are classically seen as radiolucent shadows associated with unerupted teeth and seemingly attached to the cementoenamel junction. [18] CT scan imaging gives information about the origin, size, content, cortical plate thickness, and relationship of the lesion to adjacent anatomical structures. [19] CT could be beneficial to determine whether roots of the adjacent teeth were located within the radiolucent space or not associated with the lesion. [20] According to the location of radiolucency around the crown of an unerupted tooth, there are three main types of dentigerous cyst; they are central, lateral, and circumferential type. It becomes important to differentiate between the dentigerous cyst and other unilocular radiolucent lesions presenting in the third molar region. Keratocystic odontogenic tumor appears as a less expansile radiolucent lesion and also the root resorption of adjacent teeth is rare as compared to dentigerous cyst. In this presented case the root resorption of adjacent teeth is seen on radiological investigation. Adenomatoid odontogenic tumor also shows similar features as dentigerous cyst; however, it is differentiated by the presence of intracystic radio-opaque structures. In younger patients, the periapical radiolucencies associated with deciduous teeth may mimic pericoronal radiolucencies of succeeding permanent teeth and may give a false impression of dentigerous cyst. Radiographs alone will not lead to a definitive diagnosis. The diagnosis can be confirmed only after histopathological investigation.
Dentigerous cyst is lined by non-keratinized stratified squamous epithelium resembling reduced enamel epithelium, odontogenic remnants, and rarely sebaceous cells. [21] It has the potential for bone destruction due to the multipotent nature, as the lining is derived from the dental lamina. Wall of the dentigerous cyst can give rise or may be associated with various entities like ameloblastoma, squamous cell carcinoma, mucoepidermoid carcinoma, and rarely other tumors. [22],[23],[24],[25] In this presented case the histopathological view showed a similar picture in all the four samples of cystic wall lining that is non-keratinized stratified squamous epithelium and a fibrous wall surrounding the lining from outer side with a inflammatory infiltrate in this fibrous area.
The treatment of choice for dentigerous cyst is enucleation along with extraction of the impacted teeth. [26] Although in pediatric patients marsupialization has been considered to save the impacted tooth and developing tooth bud. It has been seen that tooth eruption potential is more in children who have open apices in the involved teeth. [27],[28] In this case the complete enucleation was done with the primary closure of the maxillary defects by using resorbable synthetic suture material (vicryl 4-0), and the mandibular bone defects after enucleation were packed with povidone Iodine-soaked gauze and was left open for secondary healing.
In marsupialization, a window is created in the cystic wall to evacuate its contents and the lining of cyst is sutured in continuity with the oral mucosa. The disadvantage of this technique is that the pathological lining is left behind. In this case enucleation is the treatment of choice, as there is no potential for eruption of the impacted third molars either due to age, inverted position, or root resorption of adjacent teeth.
References | |  |
| 1. | Ikeshima A, Tamura Y. Differential diagnosis between dentigerous cyst and benign tumour with an embedded tooth. J Oral Sci 2002;44:13-7.  [PUBMED] |
| 2. | Daley TD, Pringle GA. Relative incidence of odontogenic tumors and oral and jaw cysts in a Canadian population. Oral Surg Oral Med Oral Pathol 1994;77:276-80.  [PUBMED] |
| 3. | Ziccardi VB, Eggleston TE, Schnider RE. Using fenestration technique to treat a large dentigerous cyst. J Am Dent Assoc 1997;128:201-5.  |
| 4. | Harshaminder K, Ranmeet B. Non Syndromic Bilateral Dentigerous Cysts: A case report. Int J Dent Clin 2010;2:49-51.  |
| 5. | Cankurtaran CZ, Branstetter BF 4 th , Chiosea SI, Barnes EL Jr. Ameloblastoma and Dentigerous Cyst Associated with Impacted Mandibular Third Molar Tooth. Radiographics 2010;30:1415-20.  |
| 6. | Batra P, Roychoudhury A, Balakrishan P, Prakash H. Bilateral dentigerous cyst associated with polymorphism in chromosome 1qh+. J Clin Pediatr Dent 2004;29:177-81.  |
| 7. | Kramer L, Pindborg J, Shear M. Histological typing of odontogenic tumors. 2 nd ed. Berlin Heidelberg: Springer-Verlag; 1992. p. 34-6.  |
| 8. | Tsukamoto G, Sasaki A, Akiyama T, Ishikawa T, Kishimoto K, Nishiyama A, et al. A radiologic analysis of dentigerous cysts and odontogenic keratocysts associated with a mandibular third molar. Oral Surg Oral Med Oral Pathol Oral Radiol Endod 2001;91:743-7.  [PUBMED] |
| 9. | O'Neil DW, Mosby EL, Lowe JW. Bilateral mandibular dentigerous cysts in a five year old child: Report of case. ASDC J Dent Child 1989;56:382-4.  [PUBMED] |
| 10. | Gorlin RJ. Cysts of the jaws, oral floor and neck. In: Gorlin RJ, Goodman HW, editors. Thoma's oral pathology. 6 th ed, Vol. 1. St. Louis: Mosby; 1970.  |
| 11. | Angela B, Mario A. Dentigerous cysts of inflammatory origin: A clinicopathologic study. Oral Surg Oral Med Oral Pathol 1996;81:203-9.  |
| 12. | Ngan P, Hornbrook R, Weaver B. Early timely management of ectopically erupting maxillary canines. Semin Orthod 2005;11:152-63.  |
| 13. | Bishara SE. Impacted maxillary canines: A review. Am J Orthod Dentofacial Orthop 1992;101:159-71.  [PUBMED] |
| 14. | Ko KS, Dover DG, Jordan RC. Bilateral dentigerous cysts: Report of an unusual case and review of the literature. J Can Dent Assoc 1999;65:49-51.  [PUBMED] |
| 15. | Main DM. Epithelial jaw cysts: A clinicopathological reappraisal. Br J Oral Surg 1970;8:114-25.  [PUBMED] |
| 16. | Ertas U, Yavuz MS. Interesting eruption of 4 teeth associated with a large dentigerous cyst in mandible by only marsupialization. J Oral Maxillofac Surg 2003;61:728-30.  [PUBMED] |
| 17. | Sumer M, Baº B, Yildiz L. Inferior alveolar nerve paresthesia caused by a dentigerous cyst associated with three teeth. Med Oral Patol Oral Cir Bucal 2007;12:E388-90.  |
| 18. | Shah N, Thuau H, Beale I. Sponteneous regression of bilateral dentigerous cysts associated with impacted mandibular third molars. Br Dent J 2002;192:75-6.  [PUBMED] |
| 19. | Freitas DQ, Tempest LM, Sicoli E, Lopes-Neto FC. Bilateral dentigerous cysts: Review of the literature and report of anusual case. Dentomaxillofacial Radiol 2006;35:464-8.  |
| 20. | Toller MO, Sipahier M, Acikgoz A. CT display of multiple Dentigerous cysts of the mandible: A case report. J Clin Pediatr Dent 1995;19:135-7.  [PUBMED] |
| 21. | Tuzum MS. Marsupialization of a cyst lesion to allow tooth eruption: A case report. Quintessence Int 1997;28:283-4.  |
| 22. | Gulses A, Karacayli U, Koymen R. Dentigerous cyst associated with inverted and fused supernumerary teeth in a child: A case report. Oral Health Dent Manag Black Sea Ctries 2009;8;38-41.  |
| 23. | Holmlund HA, Anneroth G, Lundquish G, Nordnram A. Ameloblastoma originating from odontogenic cysts. J Oral Pathol Med 1991;20:318-21.  |
| 24. | Maxymiw WF, Wood RE. Carcinoma arising in a dentigerous cysts: A case report and review of the literature. J Oral Maxillofac Surg 1991;49:639-43.  |
| 25. | Waldron CA, Koh ML. Central mucoepidermoid carcinoma of the jaws: Report of four cases with analysis of the literature and discussion of the relationship to mucoepidermoid, sialodontogenic, and glandular odontogenic cysts. J Oral Maxillofac Surg 1990;48:871-7.  [PUBMED] |
| 26. | Assael LA. Surgical management of odontogenic cysts and tumors. In: Peterson LJ, Indresano TA, Marciani RD, Roser SM, editors. Principles of oral and maxillofacial surgery. Vol 2. Philadelphia: JB Lippincott; 1992. p. 685-8.  |
| 27. | Motamedi MH, Talesh KT. Management of extensive dentigerous cysts. Br Dent J 2005;198:203-6.  [PUBMED] |
| 28. | Kirtaniya BC, Sachdev V, Singla A, Sharma AK. Marsupialization: A conservative approach for treating dentigerous cyst in children in the mixed dentition. J Indian Soc Pedod Prev Dent 2010;28:203-8.  [PUBMED] |
[Figure 1], [Figure 2], [Figure 3], [Figure 4], [Figure 5], [Figure 6], [Figure 7], [Figure 8], [Figure 9], [Figure 10], [Figure 11], [Figure 12], [Figure 13]
| This article has been cited by | | 1 |
Non-syndromic bilateral dentigerous cysts of maxillary and mandibular canines: A case series and review of literature |
|
| Atul Kaushik,Astha Chaudhry,Pulin Saluja,Munish Kumar,Monika Varshney | | Journal of Oral and Maxillofacial Surgery, Medicine, and Pathology. 2014; | | [Pubmed] | [DOI] | | | 2 |
Dentigerous cysts in four quadrants of a nonsyndromic patient: case report and literature review |
|
| Naile Cura,Ali Hanttash,Beste Inceoglu,Kaan Orhan,Aysegul Mine Tuzuner Oncul | | Oral Radiology. 2014; | | [Pubmed] | [DOI] | | | 3 |
Bimaxillary and bilateral dentigerous cysts: A rare and first reported case |
|
| ShaneJ. J. McCrea | | Journal of Surgical Technique and Case Report. 2013; 5(1): 61 | | [Pubmed] | [DOI] | |
|
 |
 |
|